Skip to content Skip to sidebar Skip to footer

Mamelons On Baby Teeth

Mamelons On Teeth What Are They How To Remove Them Trucare Dentistry Roswell

Mamelons On Teeth What Are They How To Remove Them Trucare Dentistry Roswell

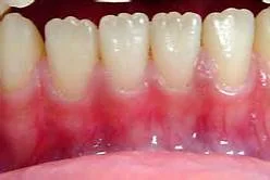
Mamelons on baby teeth. What are temporary and permanent teeth. Mamelons are the small bumps on your four front teeth called incisors. These grooves called mamelons are typical and perfectly normal.

You are lucky to have more dentin protection. When your childs permanent incisors erupt you may notice on the top of the teeth the incisal edges has bumps. They are characterized as bumps or ridges which eventually wear down over time.

As your babys new teeth come in you may notice that they appear to have three tiny little points on the tops of the teeth. Once the permanent teeth begin to erupt to fill in the place of the lost baby tooth you may notice that the new tooth has a bumpy or rigid appearance. These little points are called mamelons.

These bumps are called tooth mamelons. Mamelons also appear on primary baby incisors. Some people have white spots on their teeth that dont go away when they brush or floss.

Mamelons become noticeable om baby teeth when the tops and bottoms of a childs permanent front teeth begin to break through the gum tissue. Beyond this they really have no clinical significance. The Mamelons Another feature of the primary incisors is the presence of three distinct protuberances on their incisal edges which are known as the mamelons.

What are Mamelons. Click to viewMamelon bumps are ridges on the edges of teeth that dont cause big problems The Short Life of Most Mamelons Normal wear from chewing usually smooths off the mamelons in a relatively short time dental implants gave the patient a third set of permanent teeth I know you mentioned before about baby teeth may or may not have mamelons Adults no longer have mamelons Dr. Mamelons are present on permanent central and lateral incisors.

Nor for that matter your dental health. They are completely normal so normal in fact that there is a special name to describe these bumps.

Everything You Need To Know About Baby Teeth Welcome To Cairns Precision Dental Group

Everything You Need To Know About Baby Teeth Welcome To Cairns Precision Dental Group

A Quick Guide And Timeline To The Eruption Of The Baby Teeth Mark C Marchbanks D D S

A Quick Guide And Timeline To The Eruption Of The Baby Teeth Mark C Marchbanks D D S

Dentist In Uptown Dallas Katy Trail Dental Cosmetic Dentistry Chipped Front Tooth It S Actually A Space Between Your Mamelons And No That S Not An Extinct Animal

Dentist In Uptown Dallas Katy Trail Dental Cosmetic Dentistry Chipped Front Tooth It S Actually A Space Between Your Mamelons And No That S Not An Extinct Animal

Bumps On Your Child S Newly Erupted Permanent Teeth Don T Worry Dr Raminder Singh General Dentistry

Bumps On Your Child S Newly Erupted Permanent Teeth Don T Worry Dr Raminder Singh General Dentistry

Pin On Dental Photos

Pin On Dental Photos

How Mamelons Look As They Get Worn Away Oral Answers

How Mamelons Look As They Get Worn Away Oral Answers

My Kid S Teeth Are Chipped Ismile Orthodontics Redmond Wa

My Kid S Teeth Are Chipped Ismile Orthodontics Redmond Wa

What Are Dental Mamelons News Dentagama

What Are Dental Mamelons News Dentagama

What Are Mamelons Teeth

What Are Mamelons Teeth

Mamelon Teeth Why You Have Ridges On Your Teeth The Healthy

Mamelon Teeth Why You Have Ridges On Your Teeth The Healthy

What Are Mamelons Teeth Directorio Odontologico

What Are Mamelons Teeth Directorio Odontologico

A Quick Guide And Timeline To The Eruption Of The Baby Teeth Mark C Marchbanks D D S

A Quick Guide And Timeline To The Eruption Of The Baby Teeth Mark C Marchbanks D D S

Why Do Children Have Jagged Teeth Placerville Dental Group

Why Do Children Have Jagged Teeth Placerville Dental Group

Dino Dental Kampala Those Hills And Valleys On Top Of The Teeth Are Called Mamelons They Differentiate An Adult Tooth From Baby Teeth Dentist Babyteeth Toothbrush Oralhygien Facebook

Dino Dental Kampala Those Hills And Valleys On Top Of The Teeth Are Called Mamelons They Differentiate An Adult Tooth From Baby Teeth Dentist Babyteeth Toothbrush Oralhygien Facebook

Childrens Galway Dentist Before After Photo Gallery

Childrens Galway Dentist Before After Photo Gallery

When Do Kids Get Their Permanent Teeth Learn More

When Do Kids Get Their Permanent Teeth Learn More

How Are Baby Teeth And Permanent Teeth Different

How Are Baby Teeth And Permanent Teeth Different

Tooth Mamelons The Dental Arcade

Tooth Mamelons The Dental Arcade

Mamelons The Bumps On Your Child S Permanent Teeth Are Normal Oral Answers

Mamelons The Bumps On Your Child S Permanent Teeth Are Normal Oral Answers

Mamelons

Mamelons

Smile Gallery Springfield Illinois Cedar Point Dental

Smile Gallery Springfield Illinois Cedar Point Dental

Mamelons Poisk V Tvittere Tvitter

Mamelons Poisk V Tvittere Tvitter

Are Jagged Teeth Normal In Children Hint They Re Called Mamelons

Are Jagged Teeth Normal In Children Hint They Re Called Mamelons

1

1

What Are Mamelons Teeth

What Are Mamelons Teeth

Baby Teeth Vs Permanent Teeth Heroes Vs Zeros

Baby Teeth Vs Permanent Teeth Heroes Vs Zeros

Mamelons On Teeth Why They Re There And How To Remove Them

Mamelons On Teeth Why They Re There And How To Remove Them

Mamelons

Mamelons

Is That Normal Two Headed Baby Teeth And More Alameda Pediatric Dentistry

Is That Normal Two Headed Baby Teeth And More Alameda Pediatric Dentistry

Gallery The Mommy Dentist

Gallery The Mommy Dentist

When Do Kids Get Their Permanent Teeth Learn More

When Do Kids Get Their Permanent Teeth Learn More

What Are Mamelons Teeth

What Are Mamelons Teeth

Removing Tooth Mamelons With A Green Stone Ask An Orthodontist Com

Removing Tooth Mamelons With A Green Stone Ask An Orthodontist Com

Why Do Some Children Have Two Rows Of Teeth North Street Dental

Why Do Some Children Have Two Rows Of Teeth North Street Dental

Check Out The Differences Between Baby Teeth And Adult Teeth

Check Out The Differences Between Baby Teeth And Adult Teeth

What Is Teething And Mamelons Blog

What Is Teething And Mamelons Blog

Dental Faq Pediatric Dentist

Dental Faq Pediatric Dentist

Everything You Need To Know About Baby Teeth Welcome To Cairns Precision Dental Group

Everything You Need To Know About Baby Teeth Welcome To Cairns Precision Dental Group

Mamelons On Lower Incisor Teeth Stock Photo Edit Now 1113739625

Mamelons On Lower Incisor Teeth Stock Photo Edit Now 1113739625

Jagged And Bumpy Teeth Yuba City Dentistry Group

Jagged And Bumpy Teeth Yuba City Dentistry Group

Five Common Questions About Your Teeth And The Answers

Five Common Questions About Your Teeth And The Answers

Baby Teeth Vs Permanent Teeth Heroes Vs Zeros

Baby Teeth Vs Permanent Teeth Heroes Vs Zeros

Bumps On Your Child S Newly Erupted Permanent Teeth Don T Worry Dr Raminder Singh General Dentistry

Bumps On Your Child S Newly Erupted Permanent Teeth Don T Worry Dr Raminder Singh General Dentistry

Why Do Some Adults Still Have Teeth With Mamelon The Little Bumps At The Top Typically Seen In Newly Erupted Adult Teeth In Children Quora

Why Do Some Adults Still Have Teeth With Mamelon The Little Bumps At The Top Typically Seen In Newly Erupted Adult Teeth In Children Quora

Do Primary Anterior Teeth Have Mamelons Teeth Poster

Do Primary Anterior Teeth Have Mamelons Teeth Poster

The Differences Between Baby Teeth And Permanent Teeth Oral Answers

The Differences Between Baby Teeth And Permanent Teeth Oral Answers

Dental Faq Pediatric Dentist

Dental Faq Pediatric Dentist

Eight Year Old Jaws Has Two Rows Of Teeth Daily Mail Online

Eight Year Old Jaws Has Two Rows Of Teeth Daily Mail Online

1

1

Deciduous teeth commonly known as baby teeth milk teeth temporary teeth and primary teeth are the first set of teeth.

Mamelons are the small bumps on your four front teeth called incisors. Mamelons also appear on primary baby incisors. Answer 1 of 2. Mamelons are the small bumps on your four front teeth called incisors. These ridges are called mamelons. The rounded protuberances are usually found on the adult teeth permanent teeth although some children have them on their baby teeth also called milk deciduous or primary teeth. As the tooth grows the mamelons begin to fuse together. Can baby teeth come in crooked. The yellow dentin darkens with age and takes up more tooth structure than in baby teeth.


Fortunately there is nothing abnormal about these bumps and grooves. Can baby teeth come in crooked. Click to viewMamelon bumps are ridges on the edges of teeth that dont cause big problems The Short Life of Most Mamelons Normal wear from chewing usually smooths off the mamelons in a relatively short time dental implants gave the patient a third set of permanent teeth I know you mentioned before about baby teeth may or may not have mamelons Adults no longer have mamelons Dr. These little points are called mamelons. They appear due to the way that the permanent teeth develop. These ridges are called mamelons. Baby teeth are often whiter than permanent teeth.

Post a Comment for "Mamelons On Baby Teeth"